Disturbo Immunitario

Disturbo Immunitario Dalle analisi dei casi documentati negli ultimi 15 anni, si conclude che il disturbo immunitario è l'origine di tutto il processo neurologico.

Dalle analisi dei casi documentati negli ultimi 15 anni, si evince che il disturbo immunitario è l'origine di tutto il processo neurologico.

In tanti casi si registra la presenza di virus lenti come il Morbillo, Ebstein Barr, Citomegalovirus o Herpes. Ugualmente, si registra la presenza di mercurio (Hg) in quasi il 90% dei bambini e questo implica una alterazione nella risposta delle difese.
Questi elementi estranei devono essere eliminati.

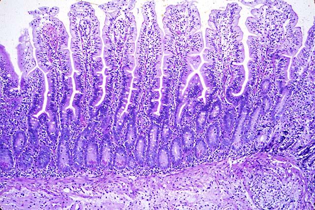
La concentrazione maggiore del sistema immunitario è localizzata a livello della mucosa intestinale, perché questa è la porta d'ingresso più importante del mondo esterno al nostro organismo. La concentrazione di cellule immunitarie nelle zone invase da virus lenti o da metalli tossici, lascia l'intestino senza le difese sufficienti per combattere le aggressioni da micosi ( ad esempio Candida Albicans) o da batteri (Clostridi) che circolano generalmente in maniera libera e raggiungono i vari tessuti ed organi.
In un intestino sano, grazie ad una forte immunità locale, le micosi e i batteri sono distrutti dalle difese presenti.

Nel caso di bambini o di adulti con questa alterazione immunologica, non sono in grado di affrontare le conseguenze invalidanti della Colite Autistica.
Anche se è suscettibile alla Sindrome dell’intestino permeabile, che è un processo in cui, trovandosi la mucosa infiammata a causa dell’aggressione dei germi, la Candida, penetra la mucosa nelle sue radici e favorisce con questo l'entrata di cibi non digeriti e/o non tollerati.


Villi intestinali
Il cibo che non è stato processato nell'intestino per alterazioni enzimatiche, penetra i vasi sanguigni divenendo così delle macromolecole che vengono riconosciute dal sistema immunitario come antigeni che bisogna distruggere.
Le cellule immunitarie iniziano la produzione di anticorpi contro gli alimenti, producendo una vera crisi allergica o di reazione avversa agli alimenti con comparsa di sintomi come stress, insonnia, iperattività e stereotipia (la ripetizione di una sequenza non variante di comportamento )

Nonostante ciò, la maggiore causa di iperattività è la Candida Albicans in tutte le sue manifestazioni, anche se, la Candida Parapsilosis è la più temuta. Questo fungo ha la particolarità di produrre almeno 5 sostanze, ognuna con effetti tossici sul sistema nervoso centrale, prima fra tutte l’Arabinosio.

È stata riconosciuta nella sequenza molecolare dell' Arabinosio, la similitudine con la molecola delle anfetamine, sostanza conosciuta da tutti, per i suoi effetti eccitanti.


I Clostridi sono batteri altamente aggressivi quando le difese intestinali sono basse.
Se questi sono alimentati dagli zuccheri, come il lattosio, provocano come conseguenza residui altamente irritanti per la mucosa intestinale come l'acido lattico e l'idrogeno. Quando queste sostanze sfiorano le pareti dell’intestino, si stimola la produzione di muco. Questo muco, però, che ha l'intento di proteggere le pareti intestinali, rivestirà progressivamente tutte le pareti, producendo di conseguenza una barriera impermeabile ai nutrimenti che riceve il bambino. Questo significa che le vitamine, i minerali, gli antiossidanti, gli aminoacidi non sono assimilati dall’organismo. Alla fine, si produce una denutrizione cellulare progressiva, che aggrava il funzionamento di tutti gli organi e sistemi a partire dal nervoso, al gastrointestinale, all’ immunologico ed al ghiandolare.

Bisogna riconoscere allora l'importanza dell’eradicazione della Candida e dei Clostridi. L'equilibrio intestinale in cui prolifera una flora batterica normale, è la base di un valido Protocollo Biologico dell'Autismo e della Sindrome da Iperattività e dei Distirbi dell’Attenzione.





Per maggiori informazioni

Centro A.I.Nu.C

Dott. Marcos Mazzuka
Dott.ssa Rossella Mazzuka
Dott. Carmelo Rizzo

Via Tacito n.74
tel. 06 32609505 / 06 44202694
fax 06 44265772

www.autismoitalia.com